小児歯科ドック
6歳〜10歳頃、乳幼児、未就学児
小児歯科ドックについて
~様子をみていると取り返しのつかないことになるかもしれません
深く知る事がお子さんの未来を変えます~
口腔の健康の大切さが高まる中で、むし歯だけでなく、歯並びや食べるなどの機能に問題を抱えるお子さんが急増しています。
そうした問題は疑問や不安を抱えながらも見過ごされやすく、様子を見て大切な成長期を逃してしまうと取り返しのつかない問題へとつながることがあります。
健康な人生においては『食べる、話す、笑う』という三要素も非常に重要ですし、口腔の健康は子供の睡眠・呼吸・姿勢と関係し、生涯の健康の礎になります。
健やかな成長のために、小児歯科ドックを通じて深く知ることで「様子を見ていた」口腔内の様々な不安を取り除いてみませんか?
一般に行われる検診は、その歯科医院ごとで差異があります。
ある医院ではパッと口腔内を肉眼で見た上で問題のありそうな部分だけ小さなレントゲンを撮ったり、またある医院では全体のレントゲン、磨き残し検査まで行なったりといった感じです。
また多くの場合「むし歯何本?」という表面的な評価とフッ素塗布を行うだけで終わってしまい、口腔の健康を育むことに繋がらないことがほとんどです。
さらに多くの研究により、従来一般に行われてきた診査や検査だけでは口腔内の問題を正確に把握することが不可能であることが示されています。
事実、従来の診査や検査では、多くの問題が見過ごされているのです。
正確に口腔内の状況を把握するには、口腔内写真、磨き残し検査、唾液検査、レントゲン(CTを含む)、食生活診断、口腔機能診断、咬合歯列診査などの多岐にわたる検査が必要です。
そうすることで、『どのくらい悪いか』『今後どのようになりそうか』『口腔内の問題が全身にどの程度影響しそうか』というところまで見越した診断が可能になります。
小児歯科ドックは、お子さんの生涯の健康につなげることができます。
「あの時知っていたらよかった」と後悔しないために、お受けいただくことをお勧めします。
小児歯科ドックの流れ
- STEP.01
-
予約
- お電話にて申込み
- 必要資料を送付いたします
- STEP.02
-
1日目 : 資料採得
- 全5項目を診査(所要時間60〜90分)
- お支払い(税込5,500円)
- STEP.03
-
2日目 : 結果説明
- 所要時間60分
- ハンドアウトのお渡し
※歯科ドック後、受診希望の方は改めてご説明いたします。
Information
歯科ドック費用と
時間について
歯科ドックは、2回に分けて行いますので、通院回数も2回になります。
まず1日目に多岐にわたる検査(60〜90分)をお受けいただき、2日目に検査結果を詳しくご説明いたします(60分)。
その上で治療を進めていきたい方は、改めて治療の予約をおとりいただき、治療開始となります。
まずは歯科ドックを受けてご自身の歯や口腔の状態を詳しく知りたいという方でも、お受けいただくことが可能です。
- 歯科ドック1回目:
- 費用 ¥5,500(税込)
所要時間 60〜90分 - 歯科ドック2回目:
- 費用 無料
所要時間 60分程度
歯科ドックお申し込み方法
歯科ドックをご希望される方は、まずはお電話にてご連絡ください。
小児歯科ドック 検査項目
①問診

お子様の口腔内について気になるところを詳しくお聞かせ下さい。
また、お子様の口腔の健康を守り育てるために、日常生活の様子(お食事やおやつの習慣、睡眠のご様子など)について伺わせていただきます。
②むし歯リスク検査

磨き残しの状況とむし歯の原因菌の細菌レベルや、唾液の量とむし歯への抵抗性などを調べます。むし歯のリスク検査を通じて、より効果的なむし歯の予防法をお伝えいたします。
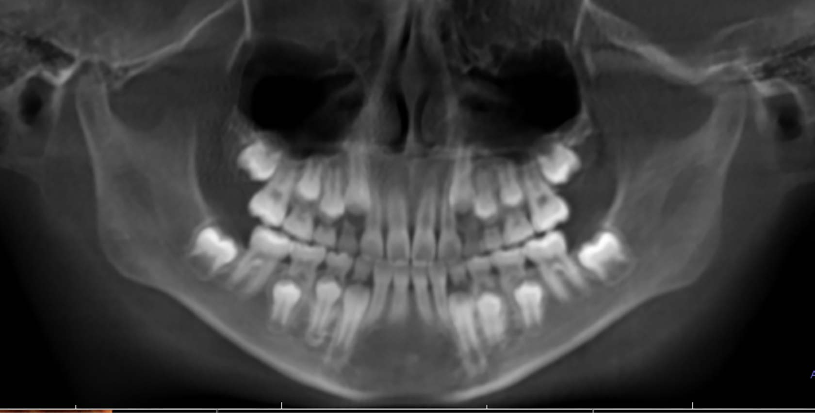
③レントゲン検査
(歯、顎の発育を診断します)

レントゲン写真を撮影し、各歯の状況や生え替わりの大人の歯の様子を確認します。なお撮影に使用する機器のX線量は従来のものの10分の1程度と非常に低いものですので、安心してお受けいただけます。
④口腔内規格写真

口腔内の詳細な写真を撮影し各歯の状況を診断、ご説明いたします。
⑤歯科医師による診査

小児担当の歯科医師がむし歯の有無、乳歯から永久歯の生え替わりの状況、顎の発育、舌やお口の機能について詳しく診査しご説明いたします。
Information
お子様の健康な未来につながる
小児歯科ドック
口腔内だけでなく歯並びや顔・顎の発育を含めた全身の健康な発育に配慮した検査により、生涯にわたるお子さんの健康をサポートいたします。
従来の定期検診では見過ごされてしまうことも、大きな問題になる前に把握できることで生涯にわたって健康な人生を築くことができます。
まずは歯科ドックを通じて、大切なお子様の口腔の状況とこれからを詳しく把握してみることは大切な発見につながります。
小児歯科ドックQ&A
- Q. 歯医者さんを怖がる子供でも大丈夫でしょうか?
-
A.
歯医者さんに対して苦手意識のあるお子さんでも、お一人おひとりの性格や成長に合わせて対応いたします。
また、どうしても苦手意識や恐怖心が強い場合には、親御さんと相談しながら徐々に慣れていくようにサポートいたしますのでご安心ください。 - Q. 検査に痛みはありますか?
-
A.
Q.検査に痛みはありますか?A.歯科ドック検査では、むし歯検査やレントゲン撮影、口腔内写真撮影などがございますが、痛みを伴う検査はございません。
レントゲン撮影では、レントゲン室に入ることが怖いと感じるお子様もいらっしゃるので、必要に応じて丁寧に説明し、安心して検査を受けられる状態になってから検査を開始いたします。 - Q. 通院回数や所要時間、費用を教えてください。
-
A.
歯科ドックには計2回の来院が必要です。お申込みの際は2回の来院のアポイントをご予約下さい。
お申込み頂いた後に、問診票や受診時の注意事項に関する資料も送付させていただきますので、お手元に届きましたらご確認、ご記入の上、検査当日にお持ち下さい。
1日目:検査(60~90分)
2日目:検査結果説明(60分)
検査・結果説明を合わせて5500円です。 - Q. 歯科ドックの検査結果はいつわかりますか?
-
A.
2日目(2回目)に検査結果と合わせて予防プランなどをお伝えいたします。
検査結果は、検査をしてから2週間程度のお時間をいただきます。 - Q. 親の付き添いが難しいのですが?
-
A.
1日目の検査は、お父さんやお母さんがお忙しく付き添いの時間がつくれないなどの場合は、ご祖母様ご祖父様が付き添われても大丈夫です。
いくつか問診をさせていただきますので、お子様の生活習慣などご存じの方の付き添いをお願いいたします。
2日目の来院の際は、ご家族の協力が大変重要な小児予防歯科についてご説明いたしますので、ご両親のどちらかがお越しください。 - Q. 小児歯科ドックはどのように申し込みすれば良いですか?
-
A.
当院までお電話にてお申し込みください。
お子様のお名前、年齢、性別、などを伺わせていただきます。
診療時間外の場合は留守番電話に、ご連絡のつきやすい時間帯、お電話番号と受診希望の旨を残していただけますと、こちらから折り返しご連絡差し上げます。
申し込み完了後こちらから問診票などを郵送にてお送りいたします。
ご不明な点などございましたら、お電話の際に気兼ねなくお尋ねください。 - Q. 6歳未満(未就学児)でも受診できますか?
-
A.
年齢によって受けられる診査項目は異なりますが、一人ひとりに合わせて診査を行いますので、お気軽にご相談ください。
また、全ての年齢のお子さん(0歳~)に対応した診療システムがございますので、ご安心ください。 - Q. 痛い歯がある場合はどうしたら良いでしょうか?
-
A.
痛みをとるなどの必要な応急対応を優先させる場合があります。
応急処置後は再発させないためにも、痛くなってしまった原因を見つけるための小児歯科ドックを受けていただくことをお勧めします。